|
재수술 전체 임플란트 치료 2026-02-20 hit.236 |
|
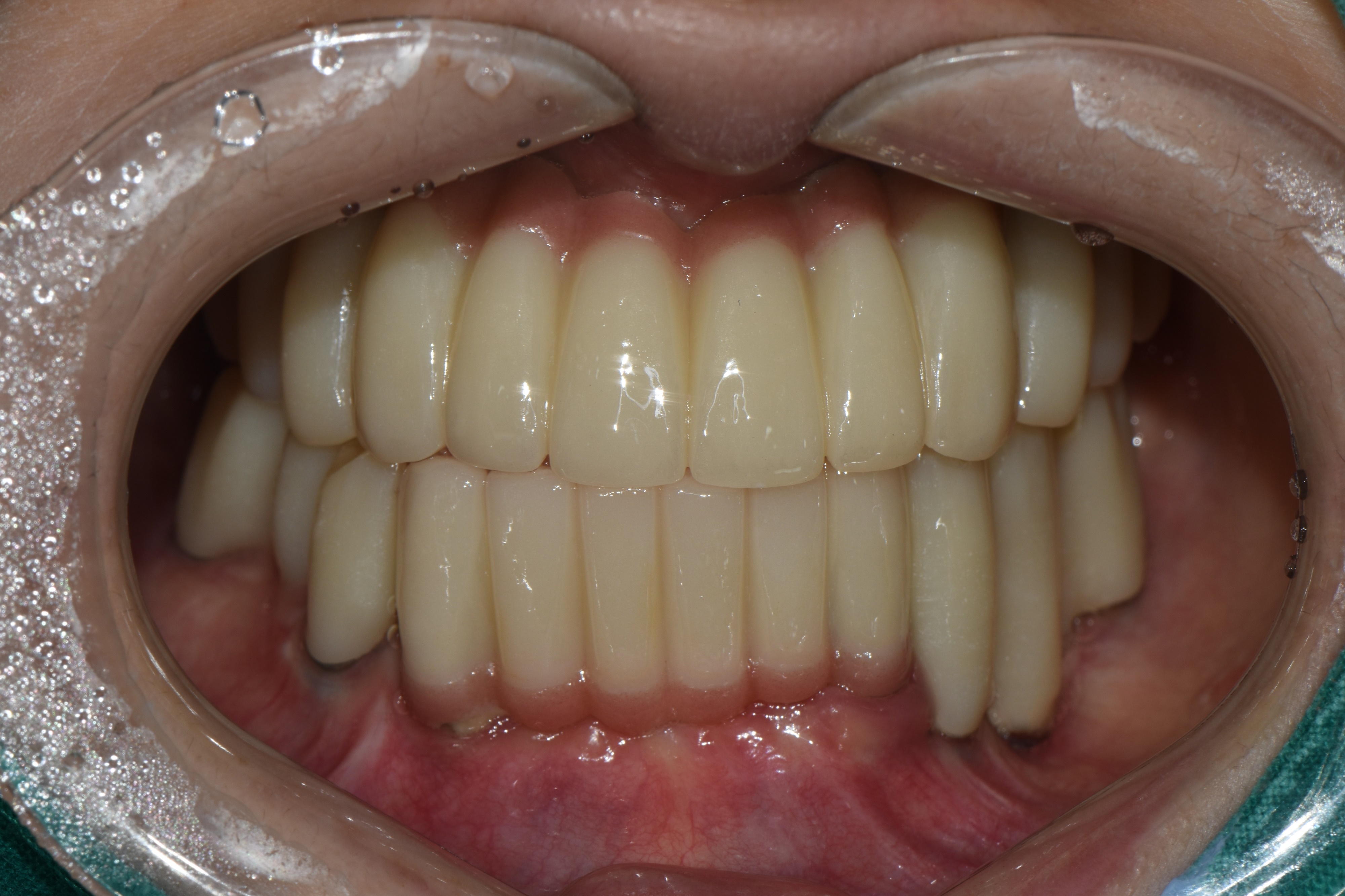
촬영일시: 2024.05.02
촬영일시: 2025.02.19 [ 치료기간: 2024년 05월 02일 ~2025년 02월 19일 ] ※ 365서울앞선치과의원의 모든 컬럼은 각 진료과 의료진이 직접 작성합니다. 365서울앞선치과의원 임상 케이스 게시물은 환자분께 의학적으로 정확하고 상세한 정보를 드리기 위해 각 진료과 의료진이 직접 작성하며, 모든 증례 사진은 본원 의료진이 직접 시술한 증례를 촬영한 것으로, 의료법 제23조, 제56조에 의거하며 환자분의 동의를 얻어 포스팅에 사용하였습니다. 또한 해당 케이스는 본 환자분의 치료 결과이며, 환자 상태에 따라 치료의 결과는 달라질 수 있습니다. |
